Step 1 of 10
Etiologie de l’insuffisance mitrale
L’insuffisance mitrale (IM) a une prévalence globale de 1.7% en Europe, mais elle augmente avec l’âge (9.3% au-delà de 75 ans) [22]. Elle relève de plusieurs affections et de plusieurs mécanismes différents, que l'on peut toutefois regrouper en deux entités.
- IM organique ou primaire; la structure des feuillets et de l'anneau mitral est pathologique, comme dans la dégénérescence myxoïde ou le rhumatisme articulaire aigu (RAA);
- IM fonctionnelle ou secondaire; l'appareil valvulaire mitral est normal, mais le VG est malade, comme dans l’altération ischémique de la cinétique pariétale ou la dilatation ventriculaire.
L'importance d'une IM est dépendante des conditions circulatoires. D'une manière générale, cette dépendance est plus marquée dans les IM fonctionnelles que dans les IM organiques. D'autre part, la variabilité de l'IM en fonction de l'hémodynamique n'est pas identique dans les deux groupes (voir Physiopathologie, IM et hémodynamique). L'étiologie et le fonctionnement de l'IM sont donc importants à connaître pour l'anesthésiste qui doit assurer la stabilité circulatoire du patient. De plus, il est capital que l’anesthésiste-échocardiographeur soit capable d'élucider le mécanisme de l'IM, car la prise en charge et le traitement chirurgical sont très différents selon le type de pathologies [17].
L'étiopathogénie de l'IM est variée ; en Europe et en Amérique du Nord, elle se répartit de la manière suivante [4,11,13,18,24].
- Maladie dégénérative (45% des cas);
- Cardiomyopathie ischémique ou dilatative (27% des cas, en augmentation);
- Endocardite bactérienne (13% des cas);
- Rhumatisme articulaire aigu (12% des cas, en diminution);
- Affections congénitales (3% des cas).
Dans les pays non-industrialisés, le rhumatisme articulaire aigu occupe une place beaucoup plus importante.
Maladie dégénérative
La maladie dégénérative est l'affection la plus fréquente; sa prévalence en Europe est de 2% de la population [13]. Elle représente les deux tiers des cas opérés. Il en existe deux formes anatomo-pathologiques [5,19].
- Dégénérescence myxoïde, constituée de dépôts étendus de mucopolysaccharides dans la matrix (maladie de Barlow). Les feuillets et les cordages sont épaissis, gélatineux et jaunâtres; l'excès de tissus rend les feuillets redondants, allongés et ballonisés; l'anneau est dilaté. Les lésions peuvent toucher les autres valves : tricuspide (30%), aortique (10%) ou pulmonaire (2%). L'évolution de la maladie est lente.
- Dégénérescence fibro-élastique, caractérisée par une déficience en collagène et en élastine qui rend les feuillets et les cordages translucides et fins mais non redondants; elle est typique de la vieillesse. Son évolution est plus rapide.
La maladie de Barlow (voir Maladie de Barlow) est un ensemble assez vaste, allant d’un syndrome bénin à prédominance féminine jusqu’à une maladie structurelle grave de la valve mitrale accompagnée d’une insuffisance majeure [6]. En Occident, la maladie de Barlow est très fréquente, puisqu’elle touche 1.7-2.4% de la population adulte [15]. Cependant, elle n’est accompagnée d’une IM significative que dans 10-15% des cas. Une insuffisance majeure se développe le plus souvent chez les hommes, et en général à partir de 50 ans; elle ne conduit à la réparation chirurgicale que 5% des malades [3,27]. Les lésions de la valve consistent en feuillets redondants et épaissis (> 3 mm), dans lesquels le collagène est partiellement remplacé par des dépôts de mucopolysaccharide, conduisant à une dégénérescence myxoïde qui paraît jaunâtre dans le champ opératoire. Typiquement, le feuillet antérieur mesure ≥ 35 mm de longeur et ≥ 3 mm d'épaisseur (au lieu de 25 mm et 0.9 mm respectivement). La valve devient insuffisante, un ou les deux feuillets prolabent et sont ballonnisés. Les cordages, dont le collagène est lui aussi atteint, s’allongent sous la traction excessive exercée sur eux et certains finissent par se rompre (Vidéo). On peut aussi rencontrer une rupture de cordage isolée. Dans 65% des cas, la lésion est située sur le feston moyen du feuillet postérieur (P2).
Vidéo: Vue tridimensionnelle depuis l'OG d'un prolapsus du feston moyen du feuillet postérieur (P2), situé en bas au milieu de la valve sur l'image à l'écran.
Vidéo: Vue tridimensionnelle depuis l'OG d'un prolapsus du feston moyen du feuillet postérieur (P2), situé en bas au milieu de la valve sur l'image à l'écran.
L'échocardiographie démontre que la maladie dégénérative peut prendre plusieurs aspects (Figure 11.64).
- Ballonnisation (billowing) d'un feuillet; une partie du corps d'un feuillet fait protrusion dans l'OG, mais le point de coaptation est en position normale, du côté ventriculaire du plan de l'anneau mitral. La ballonnisation est liée à la dégénérescence myxoïde ou à une rupture de cordage de 2ème ordre (implanté sur le corps du feuillet).
- Flottement et excès de tissu (floppy valve) (Vidéo).
Vidéo: Prolapsus mitral étendu avec ballonisation et remaniements des deux feuillets, et rutpure de cordage sur le feuillet postérieur (à gauche à l'écran), dans une vue 2-cavités 90°.
- Prolapsus; le point de coaptation est reculé de > 2 mm en arrière du plan de l'anneau mitral (en vue long-axe du VG 120°) (Vidéos).
Vidéo: recul du point de coaptation en arrière du plan de l'anneau mitral; les deux feuillets ne coaptent pas en systole.
Vidéo: Prolapsus du festion moyen du feuillet postérieur (P2, à droite à l'écran) dans une vue 4-cavités 0°.
Vidéo: Prolapsus du festion moyen du feuillet postérieur (P2, à droite à l'écran) dans une vue bicommissurale (ici à 90°); le prolapsus apparaît au-dessus de la partie médiane du feuillet antérieur.
Vidéo: Prolapsus du festion moyen du feuillet postérieur (P2), visible à gauche à l'écran dans cette vue long-axe du VG 120°; le feuillet est remanié et l'orifice de régurgitation de taille importante; au centre de l'écran, vue tronquée de la valve aortique.
- Bascule d'un feuillet (flail leaflet), liée à un allongement ou à une rupture de cordage de premier ordre (Vidéo); la longueur des cordages est mesurée en vue transgastrique 90-120°. L'IM est méso-télé-systolique dans les allongements mais holo-systolique dans les ruptures.
Vidéo: prolapsus de P2 avec rupture de cordage sur un feuillet postérieur démesuré et redondant; lésions dégénératives sur les deux feuillets (vue long-axe 130°).
- Combinaison des éléments ci-dessus.
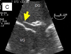
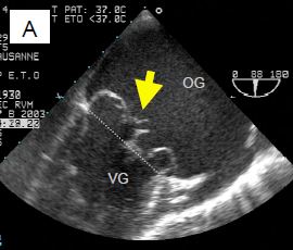
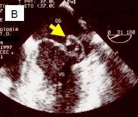
Figure 11.64 : Images ETO d’insuffisance mitrale sur dégénérescence myxoïde. A : excès de tissu avec ballonnisation, épaissisement localisé et prolapsus des deux feuillets ; la flèche indique le déplacement de l’extrémité des feuillets en arrière du plan de l’anneau mitral (trait pointillé). B : prolapsus isolé de P2. C : prolapsus de P2 avec rupture de cordage (indiqué par la flèche). D : rupture complète de muscle papillaire avec fragment de pilier attaché à l’extrémité du feuillet antérieur.
Le prolapsus concerne le plus souvent le feston moyen du feuillet postérieur (P2, 57% des cas) et la partie centrale du feuillet antérieur (A2, 33% des cas); la partie postérieure du feuillet postérieur est touchée dans 28% des cas [20].
Rhumatisme articulaire aigu
Le rhumatisme articulaire aigu (RAA) est devenu une cause rare dans les pays industrialisés (12% des IM) mais est encore largement répandu dans le tiers-monde et dans les pays émergents [13]. L’IM peut survenir pendant la phase aiguë du RAA en association avec une myocardite ou une pancardite; dans ce cas, elle est due à une dilatation annulaire et ventriculaire. Par la suite, l’évolution de la maladie conduit à un épaississement et à une rétraction importante des feuillets; ils deviennent rigides et leur mobilité est faible; les cordages sont fibrosés, épaissis et raccourcis. La fusion commissurale entraîne une maladie mitrale dans laquelle la sténose est en général prédominante par rapport à l’insuffisance (Vidéo).
Vidéo: Maladie mitrale en vue long-axe 120°; présence d'une insuffisance mitrale en systole (jet de régurgitation central) et d'un flux accéléré à travers la sténose en diastole (zone d'accélération concentrique côté auriculaire et flux tourbillonnaire avec aliasing à travers la valve).
Vidéo: Maladie mitrale en vue long-axe 120°; présence d'une insuffisance mitrale en systole (jet de régurgitation central) et d'un flux accéléré à travers la sténose en diastole (zone d'accélération concentrique côté auriculaire et flux tourbillonnaire avec aliasing à travers la valve).
Insuffisance mitrale ischémique
Une insuffisance mitrale est présente chez 10-30% des coronariens opérés [5]. Laissée à elle-même, elle péjore significativement le pronostic des pontages aorto-coronariens, mais sa réparation n'est pas anodine: la mortalité de la revascularisation coronarienne combinée à une réparation mitrale pour IM sévère est de 3-7% alors que celle de la revascularisation simple est en moyenne de 1-2% [10,12]. Elle relève de plusieurs mécanismes (Figure 11.65).
- Akinésie ou dyskinésie de la paroi ventriculaire entraînant un déplacement extérieur et/ou apical d'un muscle papillaire en systole; la traction opérée sur les cordages correspondants empèche le feuillet de rejoindre son point de coaptation en systole (restriction au mouvement systolique) (Vidéo).
Vidéo: Insuffisance mitrale sévère sur akinésie antérieure survenue après des pontages aorto-coronariens.
- Cardiomyopathie ischémique avec dilatation et hypokinésie globale du VG. L'élargissement de la cavité ventriculaire en systole ne donne plus assez de course aux cordages pour permettre l'affrontement des feuillets sur le plan de coaptation; les feuillets sont maintenus en-dessous de celui-ci et la valve fuit.
- Rupture de pilier; une rupture partielle entraîne un basculement de la commissure correspondante dans l'OG en systole (Vidéo).
Vidéo: Bascule de la commissure postérieure due à une rupture partielle du muscle papillaire postérieur.
La rupture totale du pilier cause une IM si massive et un état de choc cardiogène si profond que 50-75% des malades décèdent avant d'atteindre la salle d'opération (Vidéo).
Vidéo: Rupture totale du muscle papillaire antérieur, dont un fragment se balance au bout des cordages du feuillet antérieur; cette lésion entraîne un choc cardiogène souvent létal car la valve mitrale n'existe plus fonctionnellement.
La rupture concerne le pilier postérieur dans les trois quarts des cas parce que sa vascularisation uniquement par la CD est plus fragile que celle du pilier antérieur, vascularisé par l'IVA et la CX. - Ischémie papillaire: la non-contraction d'un muscle papillaire en systole donne trop de longueur aux cordages; le point de coaptation des feuillets est alors éversé dans l'OG. Lorsqu'elle est surimposée à une akinésie pariétale, l'ischémie papillaire corrige partiellement la rétraction systolique du feuillet mitral [21].
- Akinésie de la paroi basale: la non-contraction de l'anneau mitral en systole ne permet plus aux feuillets de coapter par une surface suffisante pour que la valve soit étanche; l'IM survient par dilatation annulaire. Cette dilatation porte essentiellement sur sa partie postérieure, car la partie antérieure est fixée au trigone fibreux.
Figure 11.65 : Insuffisance mitrale ischémique. L’IM peut être de type IIIb restrictif (A, B et C), de type II prolapsus (D et E) ou de type I fonctionnel (F) (voir Physiopathologie). A : akinésie ou dyskinésie segmentaire entraînant le pilier vers l’extérieur et vers l’apex en systole ; le feuillet correspondant est restrictif ; l’IM est excentrique. B : akinésie ou dyskinésie segmentaire entraînant le pilier vers l’extérieur avec une traction excessive sur les codages de 2ème ordre ; ceci se traduit par une image en aile de mouette du feuillet antérieur. < FA : angle du feuillet antérieur à son extrémité avec le plan de l’anneau en systole. La section chirurgicale des cordages de 2ème ordre peut être curative dans ce cas de figure. C : cardiomyopathie ischémique avec dilatation homogène du VG ; l’IM restrictive est centrale. D : la rupture partielle ou complète d’un pilier provoque un basculemrnt total de la commissure dans l’OG en systole ; on voit un morceau du pilier rompu oscillant au bout des cordages. E : ischémie d’un pilier occasionnant un prolapsus de la commissure correspondante parce que le pilier s’allonge au lieu de se contracter en systole. F : ischémie basale causant une dilatation postérieure de l’anneau mitral.
Comme toutes les insuffisances secondaires, l'IM ischémique est très sensible aux conditions hyémodynamiques: elle augmente à l'effort ou lors de stimulation sympathique, elle diminue sous anesthésie générale ou par vasodilatation artérielle [19]. Ceci peut entraîner une sous-estimation importante de l'IM en salle d'opération par rapport au cabinet de cardiologie [26].
Les deux premières catégories représentent 76% des cas; elles sont une bonne indication à une plastie par mise en place d'un anneau mitral lorsque l'IM est sévère, alors que l'ischémie et la rupture papillaires sont le plus souvent une indication au remplacement valvulaire [16]. Malheureusement, le taux de récidive après simple annuloplastie d'IM ischémique voisine 30% à 1 an [2]. Comme la pathologie est située dans le ventricule sous-jacent et non dans la valve, des interventions sur l'appareil sous-valvulaire peuvent être indiquées: repositionnement des muscles papillaires, revascularisation, resynchronisation, section des cordages secondaires (Figure 11.65B) [19]. De toute manière, le traitement de l'ischémie comprend une revascularisation coronarienne.
Figure 11.65B : Akinésie ou dyskinésie segmentaire entraînant le muscle papillaire vers l’extérieur avec une traction excessive sur les codages de 2ème ordre du feuillet antérieur dans une insuffisance mitrale ischémique; ceci se traduit par une image en aile de mouette du feuillet antérieur. < FA : angle du feuillet antérieur à son extrémité avec le plan de l’anneau en systole. La section chirurgicale des cordages de 2ème ordre peut être curative dans ce cas de figure.
Insuffisance mitrale restrictive
L'IM est dite restrictive lorsqu'une traction excessive sur les cordages par dilatation ventriculaire (DtsVG > 4.0 cm) maintient le point de coaptation en-dessous du plan de l'anneau mitral et empèche les feuillets de se rejoindre en systole. Cette IM est fonctionnelle et suit les variations de la taille du VG selon les conditions hémodynamiques. Son suivi en cours d'intervention est un excellent marqueur du degré de dysfonction ventriculaire (Vidéo) (voir Physiopathologie).
Vidéo: Insuffisance mitrale sévère de type restrictif due à une dilatation et à une défaillance du VG.
Bien que la taille des feuillets mitraux augmente jusqu'à 35% pour compenser ce défaut de coaptation [9], il s'installe un cercle vicieux entre la dilatation du VG qui limite la fermeture de la valve et la régurgitation qui provoque une surcharge de volume du VG et qui augmente encore sa dilatation.
Vidéo: Insuffisance mitrale sévère de type restrictif due à une dilatation et à une défaillance du VG.
Bien que la taille des feuillets mitraux augmente jusqu'à 35% pour compenser ce défaut de coaptation [9], il s'installe un cercle vicieux entre la dilatation du VG qui limite la fermeture de la valve et la régurgitation qui provoque une surcharge de volume du VG et qui augmente encore sa dilatation.
Endocardite
L’endocardite bactérienne atteint une valve anormale, même si la pathologie est bénigne. Elle donne naissance à des végétations, des perforations, des déchirures de feuillets ou des abcès (Figure 11.66) (Vidéos) [4,25].
Vidéo: Végétation attachée au feuillet mitral postérieur et flottant dans l'OG.
Vidéo: Abcès endocarditique situé à la base du feuillet antérieur.
Vidéo: Flux couleur mettant en évidence la perforation mitrale dans le même cas que la vidéo précédente.
Les végétations sont toujours implantées sur la face d’amont (auriculaire) des feuillets. L'endocardite mitrale est plus rare que l'endocardite aortique, à laquelle elle peut être associée. Malgré les progrès de la cardio-chirurgie et de l'infectiologie, la mortalité à 1 an reste voisine de 30% [7].
Vidéo: Végétation attachée au feuillet mitral postérieur et flottant dans l'OG.
Vidéo: Abcès endocarditique situé à la base du feuillet antérieur.
Vidéo: Flux couleur mettant en évidence la perforation mitrale dans le même cas que la vidéo précédente.
Les végétations sont toujours implantées sur la face d’amont (auriculaire) des feuillets. L'endocardite mitrale est plus rare que l'endocardite aortique, à laquelle elle peut être associée. Malgré les progrès de la cardio-chirurgie et de l'infectiologie, la mortalité à 1 an reste voisine de 30% [7].
Figure 11.66 : Images ETO d’endocardite mitrale. A : végétations allongées et de grande taille ; comme toutes les végétations, elle sont implantées sur la face d’aval des feuillets (versant auriculaire). B : végétation massive envahissant tout le feuillet postérieur (flèche violette) surmontée de petites végétations filiformes (flèche jaune).
Autres étiologies
Avec l’âge, la valve mitrale perd de son étanchéité sans qu’elle soit anormale; il est fréquent de trouver de petites régurgitations sans signification pathologique ni hémodynamique à partir de 60 ans. D’autre part, une IM modérée-à-sévère est présente chez 6% des malades de 65-75 ans et chez 9% de ceux de > 75 ans [22]. On rencontre encore d'autres étiologies de l'IM.
- Obstruction dynamique de la chambre de chasse du VG avec déplacement antérieur de la coaptation mitrale (SAM, systolic anterior motion) (voir Sténose sous-aortique dynamique);
- Maladies dégénératives tissulaires rares: syndrome d'Ehler-Danlos, syndrome de Marfan;
- Affection congénitale: valve mitrale en parachute, cleft du canal atrio-ventriculaire commun.
Calcification de l'anneau mitral
La calcification de l’anneau mitral (MAC, mitral annular calcification) est un processus dégénératif qui consiste en dépôts calcifiés et en épaississement de l'anneau (> 4 mm dans les cas sévères). Sa prévalence est de 10% de la population, avec une prédominance chez les femmes [8]. Elle est fréquente chez les personnes âgées, les insuffisants rénaux hémodialysés, les hypertendus, les polyvasculaires et les porteurs de sténose aortique calcifiée. Elle survient le plus souvent sur l'arc postérieur et peut envahir progressivement le tiers de la circonférence mitrale (MAC modéré) ou plus de sa moitié (MAC sévère) [1]. Parfois tout le feuillet postérieur devient immobile (Vidéo).
Vidéo: Insuffisance mitrale sur calcification massive de l'anneau mitral et du feuillet postérieur (vue long-axe 120°); l'IM est excentrique, dirigée vers le septum interauriculaire à cause de la rigidité du feuillet postérieur.
Histologiquement, le processus ressemble à la calcification des plaques athéromateuses. Il est directement associé au risque cardiovasculaire et aux arythmies (HR 1.6-1.9) [14,23].
Vidéo: Insuffisance mitrale sur calcification massive de l'anneau mitral et du feuillet postérieur (vue long-axe 120°); l'IM est excentrique, dirigée vers le septum interauriculaire à cause de la rigidité du feuillet postérieur.
Histologiquement, le processus ressemble à la calcification des plaques athéromateuses. Il est directement associé au risque cardiovasculaire et aux arythmies (HR 1.6-1.9) [14,23].
A l'écho, la lésion apparaît comme des zones très échogènes, irrégulières et bosselées, générant d'importants cônes d'ombre distalement. Comme elle empêche l’anneau de se contracter normalement (la surface de l’anneau diminue de 20-25% en systole), elle est souvent la cause d'une IM mineure à modérée. En général, elle rend une plastie mitrale impossible, mais l'implantation d'une prothèse valvulaire est fréquemment accompagnée de fuites paravalvulaires à cause de la non-congruence entre la valve et l'anneau calcifié. La décalcification et la reconstruction chirurgicale de l'anneau présentent un risque élevé de déchirure de la jonction auriculo-ventriculaire (rupture cardiaque) et de lésion de l'artère circonflexe (ischémie latérale) [1].
| Etiologie de l’insuffisance mitrale (IM) |
|
IM organique : atteinte structurelle des feuillets et des cordages de la valve:
- Dégénérescence myxoïde (maladie de Barlow) ou fibro-élastique (vieillesse)
- Calcifications de l’anneau et des feuillets
- RAA
- Endocardite
IM fonctionnelle : valve normale, mais atteinte ventriculaire: - Dilatation du VG (traction excessive mais symétrique sur les cordages en systole)
- Ischémie (traction excessive asymétrique sur les cordages par l’akinésie des segments jouxtant un pilier, bascule de feuillet par ischémie
ou rupture de pilier) |
© CHASSOT PG, BETTEX D, Août 2011, dernière mise à jour Août 2018
Références
- ABRAMOWITZ Y, JILAIHAWI H, CHAKRAVARTY T, et al. Mitral annulus calcification. J Am Coll Cardiol 2015; 66:1934-41
- ACKER MA, BOLLING S, SHEMIN R, et al. Mitral valve repair versus replacement for severe ischemic mitral regurgitation. N Engl J Med 2014; 370:23-32
- AVIERINOS JF, INAMO J, GRIGIONI F, et al. Sex differences in morphology and outcomes of mitral valve prolapse. Ann Intern Med 2008; 149:787-95
- BIRMINGHAM G, RAHKO P, BALLENTYNE F. Improved detection of infective endocarditis with transesophageal echocardiography. Am Heart J 1992; 123:774-9
- BONOW RO, BRAUNWALD E. Valvular heart disease. In: ZIPES DP, et al, eds. Braunwald’s heart disease. A textbook of cardiovascular medicine. 7th edition. Philadelphie: Elsevier Saunders, 2005, 1553-632
- BOUDOULAS H, KOLIBASH, AJ, BAKER P, et al. Mitral valve prolapse and the mitral valve prolapse syndrome: A diagnostic classification and pathogenesis of symptoms. Am Heart J 1989; 118:796-803
- CAHILL TJ, BADDOUR LM, HABIB G, et al. Challenges in infective endocarditis. J Am Coll Cardiol 2017; 69:325-44
- CARPENTIER A, PELLERIN M, FUZELLIER JF, RELLAND JY. Extensive calcification of mitral valve annulus: Pathology and surgical management. J Thorac Cardiovasc Surg 1996; 111:718-29
- CHAPUT M, HANDSCHUMACHER MD, TOURNOUX F, et al. Mitral leaflet adaptation to ventricular remodeling: occurrence and adequacy in patients with functional mitral regurgitation. Circulation 2008; 118:845-52
- ELLIS SG, WHITLOW PL, RAYMOND RE, SCHNEIDER JP. Impact of mitral regurgitation on long-term survival after percutaneous coronary intervention. Am J Cardiol 2002; 89:315-8
- FENSTER MS, FELDMAN MD. Mitral regurgitation: an overview. Curr Probl Cardiol 1995; 20:193-228
- FERGUSON T, DZIUBAN F, EDWARDS F, et al. STS National Database: current changes and challenges for the new millenium. Ann Thorac Surg 2000; 69:680-91
- FOSTER E. Mitral regurugitation due to degenerative mitral-valve disease. N Engl J Med 2010; 363:156-65
- FOX CS, VASAN RS, PARISE H, et al. Mitral annular calcification predicts cardiovascular morbidity and mortality: the Framingham Heart Study. Circulation 2003; 107:1492-6
- FREED LA, LEVY D, LEVINE RA, et al. Prevalence and clinical outcome of mitral valve prolapse. N Engl J Med 1999; 341:1-7
- GILLINOV AM, WIERUP PN, BLACKSTONE EH, et al. Is repair preferable to replacement for ischaemic mitral regurgitation ? J Thorac Cardiovasc Surg 2001; 122:1125-41
- GISBERT A, SOULIERE V, DENAULT AY, et al. Dynamic quantitative echocardiographic evaluation of mitral regurgitation in the operating department. J Am Soc Echocardiogr 2006; 19:140-6
- LANCELLOTTI P, MOURA L, AGRICOLA E, et al. European Association of Echocardiography recommendations for the assessment of valvular regurgitation. Part 2: mitral and tricuspid regurgitation (native valve disease). Eur J Echocardiogr 2010; 11:307-32
- LEVINE RA, HAGÉGE AA, JUDGE DP, et al. Mitral valve diasease – morphology and mechanisms. Nat Rev Cardiol 2015; 12:689-710
- MASLOW A. Mitral valve repair: an echocardiographic review: Part I. J Cardiothorac Vasc Anesth 2015; 29:156-77
- MESSAS E, GUERRERO JL, HANDSCHUMACHER MD, et al. Paradoxic decrease in ischemic mitral regurgitation with papillary muscle dysfunction. Circulation 2001; 104:1952-7
- NKOMO VT, GARDIN JM, SKELTON TN, et al. Burden of valvular heart diseases: a population-based study. Lancet 2006; 368:1005-11
- O'NEAL WT, EFIRD JT, NAZARIAN S, et al. Mitral annular calcification and incident atrial fibrillation in the Multi-Ethnic Study of Atherosclerosis. Europace 2015; 17:358-63
- OTTO CM. Clinical practice. Evaluation and management of chronic mitral regurgitation. N Engl J Med 2001; 345:740-6
- SANFILIPPO AJ, PICARD MH, NEWELL JB, et al. Echocardiographic assessment of patients with infectious endocarditis: prediction of risk for complication. J Am Coll Cardiol 1991; 18:1191-9
- SANFILIPPO F, JOHNSON C, BELLAVIA D, et sl. Mitral regurgitation grading in the operating room: a systematic review and meta-analysisi comparing preoperative and intraoperative assessments during cardiac surgery. J Cardiothorac Vasc Anesth 2017; 31:1681-91
- WILCKEN DEL, HICKEY AJ, Lifetime risk for patients with mitral valve prolapse of developping severe valve regurgitation requiring surgery. Circulation 1988; 78:10-8
11. Anesthésie et valvulopathies
- 11.1 Introduction : prévalence et risques des valvulopathies
- 11.2 Rappel physiopathologique général
- 11.3 Imagerie valvulaire
- 11.4 Situations particulières
- 11.5 Chirurgie valvulaire
- 11.6 Insuffisance mitrale
- 11.6.1 Etiologie de l'insuffisance mitrale
- 11.6.2 Physiopathologie
- 11.6.3 Manifestations cliniques
- 11.6.4 Echocardiographie de l'insuffisance mitrale
- 11.6.5 Indications et résultats opératoires
- 11.6.6 Principes pour l'anesthésie
- 11.6.7 CEC et post CEC
- 11.6.8 IM primaire sur maladie de Barlow
- 11.6.9 IM secondaire sur ischémie myocardique
- 11.6.10 IM secondaire sur défaillance du VG
- 11.7 Sténose mitrale
- 11.8 Sténose aortique
- 11.8.1 Nosologie
- 11.8.2 Physiopathologie
- 11.8.3 Manifestations cliniques
- 11.8.4 Echocardiographie de la sténose aortique
- 11.8.5 Indications et résultats opératoires
- 11.8.6 Principes pour l'anesthésie en chirurgie cardiaque
- 11.8.7 CEC et post-CEC
- 11.8.8 Sténose sous-aortique dynamique
- 11.8.9 Anesthésie pour la chirurgie non-cardiaque
- 11.9 Insuffisance aortique
- 11.10 Maladie aortique
- 11.11 Pathologie tricuspidienne
- 11.12 Pathologie de la valve pulmonaire
- 11.13 Polyvalvulopathies
- 11.14 Conclusions